Les micro-réveils nocturnes peuvent être le signe d'une apnée du sommeil avec obstruction respiratoire. Si vous êtes concerné, consultez rapidement pour retrouver un sommeil serein !
Blog - Page 8
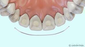
Invisalign® est un traitement orthodontique basé sur le port successif d’une série de gouttières transparentes.
Testez vos connaissances, et trouvez les réponses aux questions sur votre santé bucco-dentaire.
Le PRF (Protéine Riche en Fibrine) est un concentré de plaquettes sanguines et cellules immunitaires, accélérateur du temps de cicatrisation.
Grâce au développement de techniques discrètes et confortables, de plus en plus d’adultes ont recours à l’orthodontie.
Affichage des articles 85-96 sur 230












